Blue Background For Labs

Video could not be played

Research

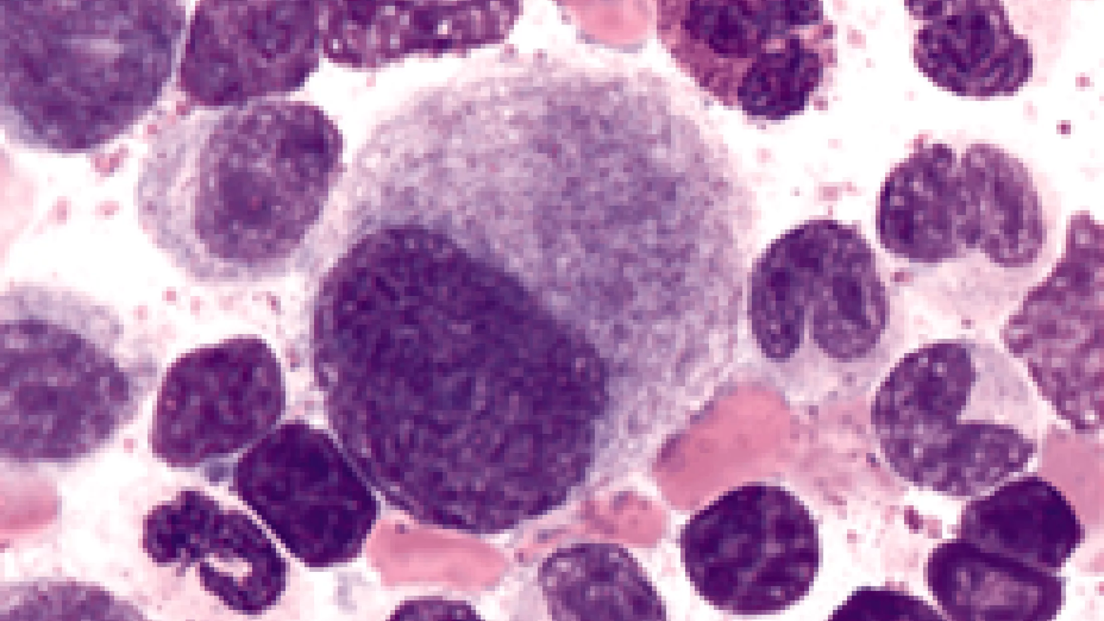
Studies on Myelodysplastic syndromes and Leukemia 

Myelodysplastic syndrome (MDS) are hematologic malignancies that are characterized by ineffective hematopoiesis, the process by which the body produces blood cells. Even though these are preleukemic disorders that transform to Acute Myeloid Leukemia (AML) in one-third of cases, most of morbidity is due to low blood counts. The Amit Verma Lab is focused on studying the molecular basis of MDS and identifying targetable pathways that can result in new treatments. We are also studying epigenetic alterations in cancer using a variety of genomic and functional tools.

Leukemia

Video could not be played

Targeting signal transduction in hematologic malignancies

Cytokines, a type of immune cell, play important roles in the regulation of normal hematopoiesis. They help maintain a balance between hematopoietic growth factors and myelosuppressive factors, a process required for optimal production of different blood cell types. We investigate the role of cytokines in MDS.

We have demonstrated that the TGF-beta superfamily/smad, IRAK and MAP kinase pathways is overactivated in MDS. Our work has led to clinical trials with Luspatercept, Galunisertib, CA4948, ARRY-614 and various other promising agents in MDS. We are trying to study the molecular mechanisms that lead to the activation of these pathways in MDS and are using small molecule inhibitors in mouse models to target these pathways. 

Targeting aberrant stem and progenitor cells in myelodysplastic neoplasms

Leukemias and MDS arise from a pool of disease initiating stem cells. We have demonstrated that aberrant stem cells persist during remission and are involved in relapse. We have identified novel targets against MDS and AML stem cells; they are being tested in various studies. We are also conducting sequencing/epigenetic analysis of highly purified human stem cells and evaluating the role of these alterations in transformation of MDS to AML.

Epigenomic analysis of tumors

We are using high throughput assays to analyze DNA methylation and other epigenetic alterations across the genome and have optimized these assays to work with low amounts of genetic material. We have successfully used these assays in conducting an integrative analysis of epigenetic and genetic alterations in various tumor models, including MDS, esophageal cancer, pancreatic cancer and renal cell cancer.

Environment and Cancer

We have conducted studies on the effect of environmental exposures such as the 911 WTC disaster on blood mutations in first responders. We are also studying the effect of air pollutants and other chemical exposures on development of blood and other cancers. 

Clinical studies in MDS

The National Cancer Institute-designated Montefiore Einstein Comprehensive Cancer Center conducts dozens of clinical trials for MDS and/or AML

Montefiore Building

Video could not be played

Clinical Studies

In addition to these preclinical studies, Dr Verma is the director of a MDS Center of Excellence clinic at Einstein and Montefiore medical center and is the PI of various clinical trials in MDS and AML.