infectious-diseases
Department of Medicine

Division of Infectious Diseases

Overview

The Infectious Diseases Division of the Albert Einstein College of Medicine and the Montefiore Medical Center strives for excellence in research, education, and patient care. We are committed to the prevention and treatment of infectious diseases.

Research

Research

Ground-breaking research by leading experts spanning all areas of infectious diseases

Education

Education

State-of-the-art clinical and research foundations in ID

Faculty

Faculty

Renowned faculty leading, grooming and mentoring future ID leaders

Patient Care

Patient Care

Patient-centered, compassionate care in the heart of the Bronx

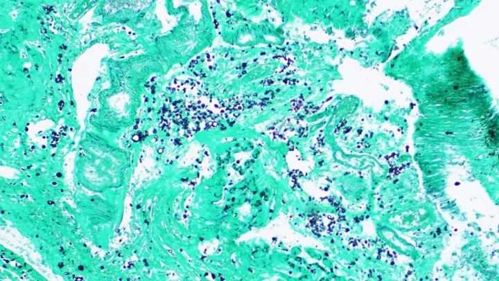
April-2023b

Case of the Month - April 2023

A 47-year-old man with a recent diagnosis of AIDS and diffuse large B-cell lymphoma was hospitalized because of seizures and an enlarging left neck mass. MRI of the brain showed a 2.5 by 1.2 cm lesion in the left inferior parietal lobe, a 1.4 by 0.7 cm ring-enhancing lesion in the right frontal lobe, and other scattered bilateral lesions. A craniotomy was done, and biopsies obtained from the right temple lesion for aerobic, anaerobic, fungal, and mycobacterial cultures, polymerase chain reaction for Toxoplasma, and surgical pathology.